Cytopathology
The Geisinger Medical Laboratories (GML) Cytopathology laboratory provides:
- Expert review and consultation with clinicians
Fine needle aspirates, small biopsies, body cavity fluids, urine, Pap tests, cerebrospinal fluid, and any other cytological specimen. Direct contact with submitting physicians.
- Highly skilled and experienced staff
We have experienced cytotechnologists and cytopathologists providing cytopathology services throughout our large medical system, with a commitment to patient care.
- State-of-the-art liquid based cytology cervical screening preparation
Computer-assisted review and HPV-DNA testing.
- Rapid on-site evaluation (ROSE) services
On-site cytology personnel with telecytology capabilities for evaluation of FNAs and small biopsies.
- Fine Needle Aspiration (FNA) Biopsy Clinic & Service
Our staff can perform FNAs in our outpatient FNA clinics or at the bedside for inpatients.
- Advanced ancillary techniques available
Including flow cytometry, immunocytochemistry, and fluorescent in situ hybridization (FISH) which aid in establishing specific diagnoses. In addition, informatics tools and innovation are used to deliver ROSE services via telecytology.
- Consultation Service available
We are available for outside consultations through the GML website. Here's how to submit a specimen.
- Quality Assurance
We also provide cytohistologic correlations and maintain an extensive quality assurance program.
Other information about the GML Cytopathology Laboratory:
- The cytopathology laboratories of the Geisinger Medical Laboratories process more than 35,000 cytology cases per year, of which approximately 8,000 are non-gynecologic cases.
- The laboratory excels in the technique of fine needle aspiration biopsy and in the evaluation of radiographic or sonographic guided biopsies, with rapid on-site evaluation (ROSE) services by trained cytotechnologists and cytopathologists.
- The laboratory is fully automated and incorporates computer-assisted primary screening using the FocalPoint computer. This significantly improves the ability to detect premalignant epithelial lesions.
- The laboratory routinely processes SurePath and ThinPrep liquid based cervical specimens. These liquid based technologies help to reduce the false negative rate of cervical cytologic screening.
- The laboratory offers expertise in the interpretation of specimens from multiple collection systems in order to provide flexibility and choice for our many outreach clients. Ancillary testing for high-risk HPV-DNA is offered on both liquid-based platforms.
Geisinger also offers a cytopathology fellowship program, emphasizing the skills and technology available at GML.


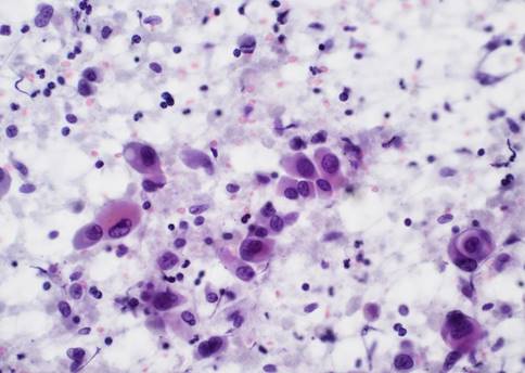
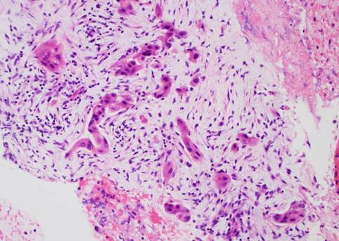
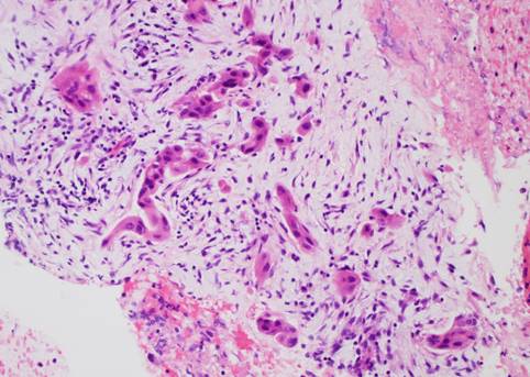
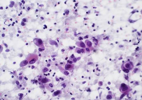
*Pancreatic adenocarcinoma on an EUS-guided biopsy of a pancreatic head mass.
Content from General Links with modal content