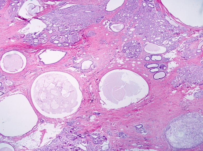
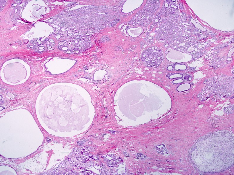
Breast Pathology
The Geisinger Medical Laboratories (GML) Breast Pathology Subspecialty Group specializes in diseases of the breast, both benign and malignant. They offer comprehensive diagnostic services, including diagnosis of:
- Ductal carcinoma
- Fat necrosis
- Fibroadenomas
- Fibrocystic disease
- Lactating adenoma
- Galactorrhea
- Hyperplasia
- Intraductal papilloma
- Lobular carcinoma
- Lymph node metastasis
- Mammary duct ectasia
- Mastitis
- Microcalcifications
- Nipple discharge
- Paget disease
- Sclerosing adenosis
The Geisinger Medical Laboratories Breast Pathology Subspecialists have conducted extensive research in breast cancer, published many articles in peer-reviewed journals, and have presented at national conferences.

FAQs
How are specimens transported to your laboratory?
Our couriers retrieve and transport specimens from regional physicians' offices, and we provide prepaid Federal Express services for physicians with offices beyond our own courier service area.
How can I get my patients' results?
Reports can be delivered delivered via fax, mail, courier, or electronically.
Do you offer a slide consultation service for second opinion?
Yes. Our specialists offer consultative services that provide guidance for additional diagnostic workup, prognostic information, pathogenetic insight, and therapeutic direction. Please forward the slides, previous surgical pathology reports and, if possible, the paraffin blocks, along with the request.
Do you offer slide preparation and technical services?
Yes, Geisinger Medical Laboratories provides histologic preparation and immunohistochemistry in addition to comprehensive diagnostic services.
Do you offer client billing?
GML offers several billing options:
- Contracted Client Billing: GML clients will receive monthly itemized invoices for services provided.
- Patient Billing: GML can bill the patient directly if complete billing information is provided on the test requisition form at the time the specimen is submitted. If you have arranged for GML to bill directly, please advise the patient to expect a bill from Geisinger Medical Laboratories.
- Third Party Billing: GML will bill the patient's insurance company directly.
For details about billing options, please see How to...Pay Your Bill.